2014/07/11
ミガキッズくらぶ結成!!
皆さん、こんにちは。院長の田中です。
私には3人の息子がいます。皆千種区内の小学校、幼稚園に通っています。
(小学校5年、2年、そして幼稚園年中)
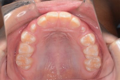
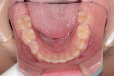
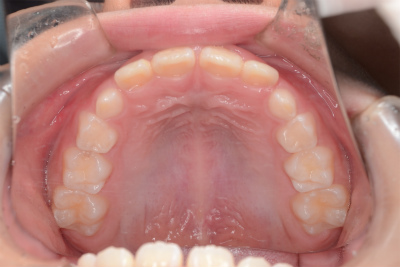
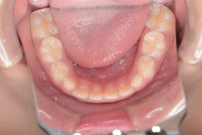
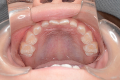
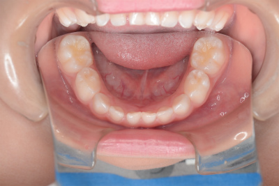
定期的に私の歯科医院に来てもらいフッ素を塗って歯の写真をとっていますが、今回も3人の歯にはムシ歯はありませんでした。
私自身、小さい頃からムシ歯だらけでたくさんの乳歯の抜歯が必要でした。
咀嚼のためそして歯並びのために子供用の入れ歯を作ってもらいましたが、それを入れていることができず、外したままいたので大人の歯に生え変わった時には歯並びはグチャグチャ。
そのため歯列矯正を行いました。
我が子にはそのような思いをさせたくない、という訳で予防歯科を勉強し我が家で実践しました。
その結果が3人ムシ歯ゼロです。
小学5年生


小学3年生


幼稚園 年中


歯医者の家庭だからと言って、特殊なことはしていません。どのご家庭でもできることを行っただけです。
我が子だけではなく、ムシ歯ゼロのお子さんをたくさん育てたいといつしか思うようになりました。
私の夢・目標は小学校6年生(12歳)でムシ歯ゼロのお子さんを1000人育てることです。
そのための活動として、「ミガキッズくらぶ」という会を作りました。
虫歯予防には家庭と歯科医院の連携が必要不可欠です。
そのため安心して通っていただけるような取り組みを今後企画したいと思っています。
すでに入会したちびっ子達がご家庭で歯磨き頑張っています。
皆さんも予防歯科を始めませんか?
「ミガキッズくらぶ」は入会無料です。たくさんのちびっ子達が参加してくれることを願っています。
月別アーカイブ
このページの上へ ▲















